ergo-log.com

Definition: "An ergogenic aid is any substance or phenomenon that enhances performance "

about us

/

contact

/

Ergo-Log

18.06.2018


Losing body fat with Pycnogenol?

Losing body fat with Pycnogenol?
It's not impossible that supplementation with Pycnogenol enhances fat loss. This is suggested by a Chinese animal study, that has been published in the Journal of Diabetes Research. According to that study, Pycnogenol changes the way fat cells function. It makes them dump their contents more easily into the blood stream, and lets them use a little more energy themselves.

Study
The researchers gave mice high-calorie food [HCD] for 8 weeks. Mice therefore become fat. A control group received standard feed [ND] during that period and thus remained slim.

A group of mice received a relatively low dose of Pycnogenol [LoPYC + HCD] every day, in addition to high-calorie feed. Had the mice been adult people, they would have received about 300 milligrams of Pycnogenol every day.

Another group of mice received a relatively high dose of Pycnogenol [HiPYC + HCD]. Had these mice been adult humans, they would have taken about one gram of Pycnogenol a day.

The researchers used extracts from the Swiss Pycnogenol manufacturer Horphag. [pycnogenol.com] However, the researchers were not paid by Horphag; they received their funding from the Chinese government.

Results
Supplementation with both the low [LoPYC + HCD] and the high dose of Pycnogenol [HiPYC + HCD] virtually eliminated the fattening effect of the high calorie feed [HCD] and inhibited the growth of adipose tissues.


Losing body fat with Pycnogenol?


Losing body fat with Pycnogenol?



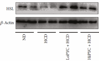
In white adipocytes, Pycnogenol inhibited the PLN1 gene, which is involved in the storage of fat. Simultaneously, Pycnogenol activates the 'fat sensors' PPAR-alpha and gamma. More strikingly, Pycnogenol increased the concentration of hormone-sensitive lipase [HSL] in the white fat cells. That enzyme cuts fatty acids from triglycerides, [lipolysis] which makes adipocytes dump free fatty acids into the bloodstream. The body can use these free fatty acids as fuel.


Losing body fat with Pycnogenol?


Losing body fat with Pycnogenol?



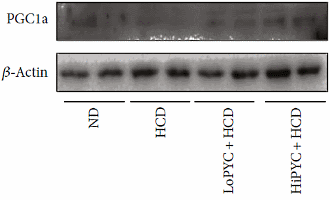
Pycnogenol also maintained the concentration of PGC-1 alpha in the fat cells. PGC-1-alpha stimulates cells to make mitochondria. The more mitochondria cells have, the more nutrients they can convert into energy.


Obituaries reveal the secret of a long life: religion


Obituaries reveal the secret of a long life: religion



All these processes are probably set in motion because Pycnogenol activates the enzyme cAMP-dependent protein kinase [PKA].


Obituaries reveal the secret of a long life: religion


Obituaries reveal the secret of a long life: religion



Conclusion
"In conclusion, our data demonstrate that Pycnogenol can effectively reduce body weight and body fat deposition", write the researchers. "This finding suggests that Pycnogenol administration may be a novel strategy for preventing and treating obesity and associated metabolic diseases."

The discovered mechanism suggests that the slimming effect of Pycnogenol becomes stronger in combination with beta-agonists. After alle, PKA increases beta-adrenergic activity. The fact that phenols [the active substances in Pycnogenol are phenols] strengthen the action of beta-agonists has been shown in studies before.

Source:
J Diabetes Res. 2018 Jan 17;2018:9713259.

More:
Betaine forces fat cells to eat themselves 17.02.2018
Enhanced fat burning through green and white tea - brown fat cells play key role 13.07.2017
Beta-AIBA, a new weight-loss supplement (29.01.2016)

Archives:
Supplementation & Fat Loss
Pycnogenol
Fat Loss


Ursolic acid is an all round sports supplement< Another fat browner: curcumin Two cups of green tea daily results in more brown fat

Ursolic acid is an all round sports supplement
The scientists who discovered the anabolic effect of ursolic acid have now produced a study which shows that the compound also stimulates fat burning.

Another fat browner: curcumin
Green tea causes white fat cells to change into brown fat cells, we wrote before. Now we've found a Chinese animal study in which curcumin has the same effect.

Two cups of green tea daily results in more brown fat
And that could be interesting for people who want to lose some body fat. Brown fat cells not only store fat, but also burn it and convert it into heat.