|
Pantethine treatment reduces visceral fat and fatty liver
Of all types of fat in the human body, visceral fat is the most risky for health. Supplementation with the vitamin B5 analogue pantethine may reduce the amount of visceral fat. This is suggested by an almost forgotten small human study that researchers at Aoyama Gakuin University in Japan published in the Journal of Atherosclerosis and Thrombosis in 2000.
Study
In 2000, researchers at Aoyama Gakuin University published a small exploratory study in which they had 16 subjects take 600 mg of pantethine every day for at least 6 months. The subjects had an increased concentration of triglycerides in their blood of 150 milligrams per deciliter or higher.
The researchers did not use a control group. They made scans of the subjects' abdomen before and after the supplementation period.
Results
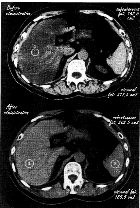
During the supplementation period, according to scans, the amount of fat in the liver and the amount of visceral fat decreased significantly. On the scans below the table you see scans of a representative subject.
Conclusion
The conclusion of the Japanese is obvious. "Pantethine improved fatty liver with hypertriglyceridemia and reduced visceral fat," they write.
Opposite the decrease of the abdominal fat may be an increase in the subcutaneous fat. (Yep, the latter effect was not statistically significant, but that might have been different in a study with more subjects.) It would be interesting to look at the effect of pantethine supplementation in people who, due to a slimming diet or a physical exercise program, are ingesting fewer kilocalories than they burn.
Source:
J Atheroscler Thromb. 2000;7(1):55-8.
More:
Megadose pantethine inhibits tumor growth (27.09.2018)
If dietary improvement doesn't lower your cholesterol, try panthetine (20.05.2018)
Archives:
B Vitamins
Vitamins
 |
 |
 |
|
Aronia berries reduce belly fat
If you eat a hefty portion of aronia berries every day, your fat reserves will decrease and your muscle mass may increase.
|
The animals on this planet are getting fatter too
Olive Leaf Extract increases the concentration of thyroid hormone - and this suggests that Olive Leaf Extract is a suitable slimming supplement.
|
Slim-waisted rats live longer
American researchers discovered that part of the life-lengthening effect of caloric restriction is caused by the reduction in the amount of visceral fat that occurs as a result of following a strict low-calorie diet.
|
|