ergo-log.com

Definition: "An ergogenic aid is any substance or phenomenon that enhances performance "

about us

/

contact

/

Ergo-Log

18.01.2010


Needle swelling in bodybuilders misleads doctors

Doctors who see muscular patients with suspicious swellings in their arms, shoulders, buttocks or legs should not sound the alarm immediately, but first check thoroughly whether the person has been injecting illegal substances. The Canadian pathologist Ilan Weinreb comes to this conclusion in an article that will appear soon in Human Pathology. He discovered relatively harmless swellings in steroids users.

When a doctor discovers a swelling in a body, he automatically thinks of cancer. Cells in a cancerous swelling are mutants. They grow and multiply. Malignant cancer cells travel through the body and grow at the cost of the body's vital organs. They are fatal, which is why doctors want to act quickly if they find cancer. But not all swellings in the body are due to cancer. Weinreb, a pathologist, found swellings in two chemical bodybuilders that were harmless.

Needle swelling in bodybuilders misleads doctors
Weinreb has examined swellings in bodybuilders in recent years. One of the bodybuilders was a man of 49 who had a large swelling in his thigh. [Probably where the injection needle is shown on the picture above.] At first the doctors thought they would have to operate, but when the man said that where the swelling was was where he normally injected steroids, they decided to first take a sample. The swelling was not cancerous. And the doctors decided it would be best to leave the swelling alone.

Another case involved a bodybuilder in his thirties. He had a swelling deep in the muscle tissue of his upper arm, a cause for alarm among the doctors at first. Which is why they removed it. A year later the bodybuilder returned – this time with a swelling in his thigh. The doctors feared that the cancer had developed secondaries. Until the man said that both swellings were located where he injected himself with steroids.

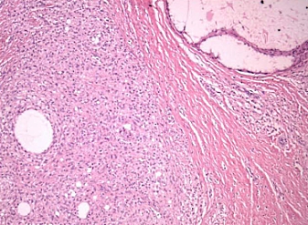
When the doctors examined the swelling in the man's thigh they discovered the probably cause of the swelling: They found foreign body giant cells: immune cells that are often found where foreign material has entered the body. The immune system uses the foreign body giant cells to engulf the alien cells. The bodybuilder's foreign body giant cells can be seen in the photo below.


Needle swelling in bodybuilders misleads doctors


The cavities you see contain "obvious foreign material" as Weinreb calls it. He suspects that the foreign material entered the body with the steroids injections.

Weinreb believes that the pseudo tumours found in bodybuilders are partly due to the non-sterile conditions found in illegal factories where more and more steroids are being produced. Another factor may be that the steroids themselves stimulate the immune system thereby causing more severe inflammatory reactions.

Doctors that examine swellings in bodybuilders should first ascertain whether they are the result of steroids injections, Weinreb thinks. This is not easy, as many users prefer not to reveal their steroids habit. But because swellings caused by injecting are usually not dangerous, it's worth questioning in detail. It saves "unnecessarily aggressive surgery".

Source:
Hum Pathol. 2009 Dec 28. [Epub ahead of print].