ergo-log.com

Definition: "An ergogenic aid is any substance or phenomenon that enhances performance "

about us

/

contact

/

Ergo-Log

30.11.2014


Myositis ossificans found in steroids user's delts

A swelling removed by surgeons at the Kansas City School of Medicine from a bodybuilder's shoulder measured 14 x 12 x 3 centimetres on the scans. After the operation the doctors discovered that the centre of the swelling was 7 x 3 x 3 centimetres. It was rubbery and filled with a thick yellow fluid. They think it was caused by the anabolic steroids that the bodybuilder had been injecting into his delts.

Myositis ossificans

The protagonist in the doctors' report, which was published recently in Orthopedics, was a 40-year-old bodybuilding fanatic who earned his money in the IT sector.

By the time he contacted the doctors he'd been walking around for years with a swelling in his right shoulder. He had noticed that the swelling had grown in the previous six months, and although it caused no pain, he was worried.

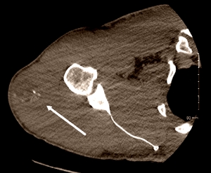
You can see the swelling in the scan below. Myositis ossificans was the diagnosis. The arrow points to an area of calcification.


Myositis ossificans found in steroids user's delts


Myositis ossificans found in steroids user's delts
The doctors removed the lump and studied it under the microscope. It consisted of immune cells that had encapsulated something to prevent it spreading through the body. Other immune cells had then tried to break down the encapsulated material.

To remove the lump the doctors had had to remove a piece of muscle, as the swelling was right in the middle of it.

More lumps
Two weeks after the operation the bodybuilder announced that he had another lump in his left shoulder. Below you can see sagittal and coronal scans of that lump. It was identical to the lump that the doctors had removed from the bodybuilder's right shoulder and measured 16 x 11 x 3 centimetres.

Because it wasn't causing the bodybuilder any trouble, he decided not to have it removed.


Myositis ossificans found in steroids user's delts


Myositis ossificans found in steroids user's delts


Conclusion
"This case report suggests a previously unknown association between anabolic steroid injections and myositis ossificans", the researchers write. "It is known that repeated microtrauma from submuscular injections can cause myositis ossificans, but it is unknown whether anabolic steroids are also causative."

"There is also the question of whether anabolic steroid injection acted as a foreign body reaction or a tumor inducing agent. This has been observed, for example, in polymyositis caused by leuprolide depot injections for prostate cancer, but has not yet been studied as a potential cause of myositis ossificans or other soft tissue tumors with the use of anabolic steroids."

"Although further investigation is warranted, myositis ossificans should be considered a complication of anabolic steroid injection."

Opinion
We, the ignorant compilers of this free web magazine, wonder whether the calcified lumps that the surgeons found in this bodybuilder were actually caused by anabolic steroids. Not all preparations available on the black market are of equal purity. It could be that the bodybuilder had used injectables that not only contained steroid hormones but also impurities that activated his immune system. These might have been micro-organisms, but could also have been industrial contaminants.

Another possibility is that the bodybuilder was carrying disease pathogens that had been introduced by the intramuscular injections.

Source:
Orthopedics. 2014 Sep;37(9):e844-7.

More:
Quad full of pus 30.10.2011
Needle swelling in bodybuilders misleads doctors 18.01.2010
Bodybuilder's muscle withers after site injection of stanozolol 05.02.2009