ergo-log.com

Definition: "An ergogenic aid is any substance or phenomenon that enhances performance "

about us

/

contact

/

Ergo-Log

25.04.2015


Bodybuilder poisons himself with vitamin D

Vitamin D3 should be at the top of every supplement-using athlete's shopping list. It’s the only vitamin that nutritionists agree on unanimously: we don't get enough of it in our diet. But of course you can take things too far as well, as the Brazilian doctors who have now treated more than a dozen bodybuilders for vitamin D poisoning know.

Study
Vitamine D3
Researchers at the Universidade Federal do Ceara in Brazil described one of these cases in Kidney International. On this occasion it was a 22-year-old bodybuilder, who the researchers described as having an extremely muscular physique. By the time he went to a doctor he'd already been sick for five days. His symptoms were nausea, vomiting and abdominal pains, just under his midriff.

The doctors found that the bodybuilder's calcium level was too high. The normal range for calcium is 8.6-10.3 mg/dl, but this man's level was 13.8 mg/dl.

A too high calcium level can cause inflammation of the pancreas, and indeed: the scans showed that the bodybuilder's pancreas was inflamed. In addition, his blood lipase concentration was 218 U/l – way above the normal range of 11-82 U/l. This was also an indication of pancreatic inflammation and indeed, the scans also showed up that the man had a kidney stone.

Injections
When the bodybuilder described the substances he was using the pieces of the puzzle fell into place. He'd been giving himself intramuscular injections for two years, and the products he'd been injecting included veterinary products containing vitamin D. For two years he’d been injecting himself with 50 ml of an oil that contained 50,000 IE vitamin D3.

Vitamin D3 is needed for the deposition of calcium in bones. But an overdose of vitamin D3 has the opposite effect, extracting calcium from the bones, increasing the amount of calcium in the bloodstream and resulting in it being deposited in places you don't want it to be deposited. That explains the scar tissue that the Brazilians found in the bodybuilder's kidneys – the result of calcium being deposited there [black patch in the photo below] and damaging part of this organ.


Bodybuilder poisons himself with vitamin D



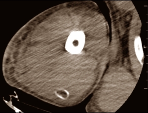
The researchers also found calcium deposits in the upper arms and pectorals of the bodybuilder. These were the places where the man had injected himself with vitamin D oil. Below is a picture of one of the depositions in his upper arm [at the bottom of the scan].


Bodybuilder poisons himself with vitamin D



Treatment
Prednisone
The doctors first attempted to normalise the man's calcium level by giving him large amounts of water and the diuretic furosemide, but this didn't help. They then put the bodybuilder through dialysis six times, also to no effect. Only when they gave the guy 30 mg prednisone [structural formula shown above] daily did his calcium level return to normal.

More cases
The Brazilians found 13 cases of bodybuilders that had developed kidney damage as a result of a vitamin D overdose in the past three years. They commented that doctors who treat bodybuilders who are ill should not only think of steroids but also take into account that they may be suffering from poisoning effects of using veterinary products or vitamin D supplements.

Source:
Kidney Int. 2014 May;85(5):1247-8.