ergo-log.com

Definition: "An ergogenic aid is any substance or phenomenon that enhances performance "

about us

/

contact

/

Ergo-Log

22.04.2010


Muscle group you train first grows fastest

The muscle groups that you pay attention to first during your workout grow and gain relatively more strength than the other muscle groups. Sports scientists at the Universidade Federal do Rio de Janeiro discovered this after doing an experiment on untrained men.

Study
Muscle group you train first grows fastest
The Brazilians recruited 31 students from the Brazilian Navy Sergeants School and divided them into three groups: the LG-SM group, the SM-LG group and a control group.

The control group did nothing.

The LG-SM group did weight training for 12 weeks. During their workout the subjects started with the barbell bench press, then did lat-pulldowns, followed by the triceps extension machine and lastly a standing biceps curl with a straight bar. The subjects did four sets of each exercise. For the first four weeks of the experiment the subjects used weights at which they could perform 12-25 repetitions. Then they went up to weights at which they could manage 8-10 reps. Between sets they rested for two minutes.

The SM-LG group trained in exactly the same way. But they did the exercises in a different order. This lot first trained their biceps, then their triceps, then their lats and lastly their pecs.

Results
The table below shows the gains in the strength for the different groups. It shows the changes in weight at which the subjects were able to make one rep. The figures marked with an asterisk show the increases that were statistically significant.


LG-SM
(n=9)

SM-LG
(n=13)

Control
(n=9)

Bench press (1RM)

+7.1*

+7.7

-0.3

Lat pulldown (1RM)

+10.6*

+5.4*

+1.4

Triceps extension (1RM)

+15.3*

+19.0*

+1.9

Biceps curl (1RM)

+5.0

+5.5*

-0.5


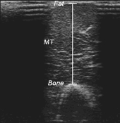
The researchers also made scans of the subjects' arms and used them to measure the increase in circumference of the biceps and triceps. There's a scan at the top of the page.


LG-SM
(n=9)

SM-LG
(n=13)

Control
(n=9)

Triceps (cm)

+0.0

+0.28*

-0.06

Biceps (cm)

+0.22

+0.13

-0.01


Conclusion
"Based on the 1RM strength gains and effect size results of the current study, it appears exercises that are particularly important for the training goals of a program should be placed at the beginning of the training session, whether or not it is a large or a small muscle group exercise", the researchers conclude.

Source:
Journal of Sports Science and Medicine (2010) 9, 1-7.

More:
Want bigger biceps? Train them first 19.03.2009

Archives:
Resistance Training


Want bigger biceps? Use the hormone peak after leg training
Just after you've trained your legs, you have much more testosterone and growth hormone in your blood. If you then train a small muscle group, it'll grow faster.

Restricted muscles grow faster
If you do strength training with light weights, lots of reps and the blood supply to your muscles cut off, you are likely to gain just as much muscle bulk as you would with regular strength training.

Why it's best to train big muscle groups first and then the smaller muscles
You train big muscle groups first and then the smaller ones. Sports scientists have discovered why that standard approach isn't so crazy.